Une biopsie de la masse par médiastinoscopie conduit au diagnostic de lymphome diffus à grandes cellules B, CD20+, CD79a+, CD19+, CD3-, de profil non centro-germinatif (CD10-, BCL6+ hétérogène , 30% / MUM1+ 100% des cellules tumorales), et l’expression de l’antigène CD23 et du produit du gène MAL caractérisent un lymphome B primitif du médiastin.
L’hémogramme, LDH, biopsie médullaire et le bilan biologique sont normaux
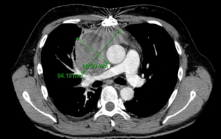
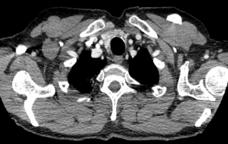
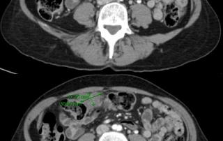
Scanner thorax abdomen pelvien : masse médiastinale antérieure et supérieure, absence d’atteinte du pédicule vasculaire, absence de nodule pulmonaire, scanner sous-diaphragmatique normal. Cible médiastinale taille 94 x 67 mm
TEP-FDG masse médiastinale hypermétabolique isolée
Classement LNH diffus à grandes cellules stade I médiastin, OMS = 0, LDH normales, soit aucun facteur selon IPIaa
Décision Traitement R-ACVBP x 4 cycles sans prophylaxie neuro-méningée, suivi en cas de rémission complète d’un traitement de consolidation séquentielle du LYSA avec rituximab. L’atteinte médiastinale volumineuse a conduit à traiter par 4 cycles plutôt que 3 cycles de R-ACVBP selon la publication de l’essai GELA LNH03-1B (Ketterer et al. Ann Oncol 2013)
Ketterer N, Coiffier B, Thieblemont C, et al. Phase III study of ACVBP versus ACVBP plus rituximab for patients with localized low-risk diffuse large B-cell lymphoma (LNH03-1B). Ann Oncol 2013 Apr;24(4):1031-7.
Biologie : hémogramme, LDH et biopsie médullaire normaux.
La biopsie guidée sous échographie conduit au diagnostic de lymphome non hodgkinien diffus à grandes cellules B CD20+, CD5-, CD10-, BCL2-, BCL6+, CD30+.
Classement lymphome non hodgkinien diffus à grandes cellules B CD20+, stade IIE thyroïde, OMS = 0, LDH normales soit aucun facteur de risque selon IPI ajusté à l’âge
Décision : R-CHOP x 6 cycles sous réserve d’obtention d’une réponse complète après 4 cycles. Le patient étant traité en dehors d’un essai thérapeutique, un traitement guidé par la TEP précoce après 2 cycles n’est pas envisagé
L’examen clinique retrouve plusieurs adénopathies axillaires droites de 2 à 4 cm, sans autre anomalie. Absence de signes généraux, indice d’activité OMS = 0.
Hémogramme, LDH et bilan biologique sont normaux. Biopsie ostéo-médullaire normale.
Classement LNH diffus à grandes cellules B, stade III, OMS 0, LDH normales.
Décision R-CHOP x 8 cycles, sans prophylaxie neuro-méningée. Absence d’essai thérapeutique ouvert. Une TEP-TDM précoce n’est pas recommandé en dehors d’un essai thérapeutique comportant une relecture centralisée.
Le traitement a été réalisé selon le programme de soin initial
Les adénopathies axillaires ne sont plus palpables avant le 2ème cycle. Le médecin décide de ne pas réaliser d’imagerie intermédiaire après 4 cycles, en raison de l’évolution clinique rapidement favorable et du volume tumoral réduit.
Evaluation après 8 cycles, en fin de traitement.
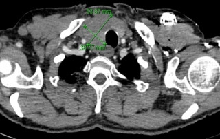
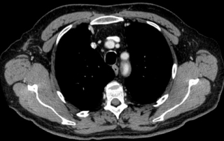
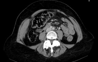
Scanner comparé au scanner avant traitement, la cible axillaire droite taille 18 x 9 mm
vs 32 x 31 mm soit une régression de 84% sur cette cible.
Les adénomégalies sous diaphragmatiques initiales sont remplacées par des
ganglions de taille normale.
TEP-FDG : persistance d’un discret hypermétabolisme en regard de l’adénomégalie
axillaire droite isolée SUV max 2.0 , SUV max du bruit de fond avoisinant à 0.9.
Absence d’hypermétabolisme suspect au niveau des autres aires ganglionnaires.
Réponse métabolique partielle axillaire droite et réponse métabolique complète
sur les autres territoires.
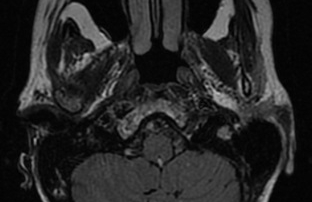
Clinique : à l’interrogatoire apparition depuis 2 à 3 semaine d’une baisse d’audition à droite, d’une diplopie horizontale, de difficultés à la marche avec déviation vers la gauche et plus récemment d’une diminution de la sensibilité du bord de langue droit, sans troubles de déglutition. Indice OMS à 1. A l’examen, présence d’adénopathies cervicales bilatérales et axillaires droites, signe de Rombergue présent, marche déviée à gauche, absence de syndrome cérébelleux. Masse abdominale palpable du flanc droit. Examen ORL retrouve une lésion de la paroi postérieur et latérale droite du cavum.
Biopsie d’une adénopathie sus-claviculaire gauche conclue à un lymphome malin diffus à grandes cellules B CD20+.
Biologie : hémogramme normal, LDH augmentée à 2,5 fois la normale, myélogramme et BM normaux.
Classement LNH diffus à grandes cellules B stade IV atteinte ganglionnaire sus et sous-diaphragmatique, atteinte du cavum avec extension au conduit auditif droit, atteintes péritonéales, OMS = 1, LDH augmentées soit 2 facteurs selon IPIaa.
Décision : R-ACVBP x 4, prophylaxie neuro-méningée, recueil de CSP après 3ème cycle. Consolidation par 2 cycles de méthotréxate hautes doses, conditionnement BEAM autogreffe, sous réserve d’un lymphome chimio-sensible, radiothérapie sur la base du crâne et le conduit auditif droit
Le traitement a été réalisé selon le programme de soins initialement prévu
Imagerie évaluation de la réponse :
Evaluation 3 mois après fin de la radiothérapie :
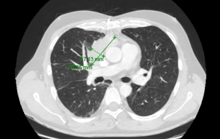
- IRM du conduit auditif interne et encéphalique : stabilité de l’infiltration du CAI droit mesuré à 9 mm. Régression de la masse de l’angle ponto-cérébelleux droit ;
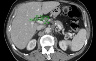
- Scanner TAP lésion péritonéale résiduelle taille 33 x 22 mm
Classement rémission complète incertaine
Surveillance : évolution favorable 2 ans après la fin du traitement
L’examen cytologique d’une adénopathie oriente vers un lymphome agressif. La biopsie d’une adénopathie cervicale gauche confirme le diagnostic de lymphome diffus à grandes cellules B CD20+ IHC. L’examen cytogénétique ne montre pas de réarrangement de C-MYC.
Biologie : hémogramme normal, augmentation des LDH à 680 UI pour une limite supérieure de la normale à 250 UI, sur la biopsie médullaire présence d’une infiltration par le lymphome à grandes cellules.
Classement : lymphome diffus à grandes cellules B CD20+ stade IV médullaire et péritoine, indice OMS = 0, LDH augmentées, IPIaa = 2.
Décision traitement initial par R-ACVBP x 4 cycles avec prophylaxie neuro-méningée et consolidation par méthotréxate à hautes doses x 2 cycles plus conditionnement autogreffe sous réserve d’obtention d’une rémission complète après R-ACVBP. En cas de réponse partielle, indication d’un contrôle histologique. En l’absence d’essai thérapeutique ouvert au moment du diagnostic, un traitement guidé par la TEP-FDG précoce après 2 cycles de R-ACVBP, n’est pas recommandé par la RCP.
Décision consolidation par méthotréxate et conditionnement BEAM autogreffe de CSH.
Evaluation réalisée 3 mois après autogreffe par scanner et TEP-FDG confirmait la rémission complète.
Biologie hémogramme hémoglobine 10,8 g/dl, LDH 180% la valeur normale. Bilan hépatique normal.
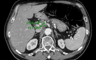
Gastroscopie et écho-endoscopie digestive : estomac normal. Adénopathies coeliaques confluentes, pancréas normal.
Biopsie d’une adénopathie sus-claviculaire conduit au diagnostic de lymphome diffus à grandes cellules B CD20+, CD5-, CD10-, BCL6+, BCL2 faible. Biopsie médullaire normale.
Classement LNH diffus à grandes cellules B CD20+, stade III, OMS = 1, LDH augmentées soit 2 facteurs selon IPIaa.
Décision : R-CHOP21 x 8 cycles avec prophylaxie neuro-méningée par 4 PL méthotrexate, en raison de l’IPIaa à 2 et des LDH augmentée. Evaluation par scanner après 4 cycles et par TEP-FDG après 8 cycles.
Classement rémission complète avec adénomégalies résiduelles sous- diaphragmatiques non hypermétaboliques
Décision surveillance.
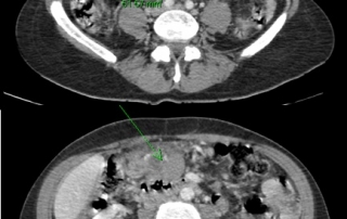
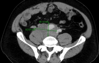
La biopsie guidée sous scanner de la masse mésentérique conduit au diagnostic de lymphome diffus à grandes cellules B CD20+ avec des zones évoquant la transformation d’un lymphome folliculaire en lymphome agressif.
Biologie : hémogramme normal, LDH augmentées à 720 UI. Biopsie médullaire et le myélogramme et l’immunophénotype médullaire montre une infiltration médullaire par un lymphome folliculaire à petites cellules, l’examen cytogénétique retrouve une translocation t(14 ;18), et l’étude en biologie moléculaire un réarrangement du gène Bcl2.
Classement LNH diffus à grandes cellules CD20+ transformation d’un lymphome folliculaire, stade IV péritonéal et médullaire, OMS = 1, LDH augmentées. L’infiltration médullaire à petites cellules caractérise la transformation du lymphome folliculaire, et n’a pas la valeur pronostique péjorative d’une infiltration médullaire d’un lymphome à grandes cellules.
Décision Traitement initial par R-ACVBP x 4 cycles avec prophylaxie neuro-méningée. Recueil d’un greffon CSP après 4ème cycles. Consolidation par métothréxate à hautes doses et conditionnement BEAM autogreffe de cellules souches sous réserve d’obtention d’une réponse complète
Le traitement a été réalisé selon le programme de soin initial
Classement en fin de traitement : rémission complète
Imagerie évaluation de la réponse :
Le traitement R-ACVBP a été choisi plutôt que R-CHOP en raison de la transformation du lymphome folliculaire et de la masse tumorale volumineuse.
Un traitement d’entretien par rituximab n’est pas recommandé après conditionnement autogreffe en dehors d’un essai thérapeutique.





























