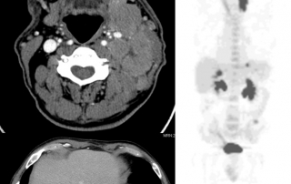
L’examen retrouve plusieurs adénopathies cervicales droites, spinales et jugulo-carotidiennes.
Absence de signes généraux.
VS 23 mm 1ère heure, hémoglobine 14.6 g/L, leucocytes 11.4 G/L, lymphocytes 1400, albumine 39 g/l.
Biopsie ostéo-médullaire normale
LYSA 2018
Traitement guidé par TEP
Selon AHL2011
Bras standard: BEACOPPesc x 6
Bras expérimental BEACOPPesc x 2 puis TEP2
Si TEP2 négative (SD 1-3) : + ABVD x 4
Si TEP2 positive (SD 4, 5) : + BEACOPPesc x 4
GHSG
Traitement non guidé par TEP
Selon essai HD15 Standard BEACOPPesc x 6
Si en fin de chimiothérapie il existe une lésion > 2,5 cm et hypermétabolique, une radiothérapie est indiquée.
Traitement guidé par TEP
Selon essai HD18
BEACOPPr x 2 puis TEP2
Si TEP2 négative (SD 1-3): + BEACOPPesc x 2 Total 4 cycles
Si TEP2 positive (SD 4, 5): + BEACOPPesc x 4 Total 6 cycles
Si en fin de chimiothérapie il existe une lésion > 2,5 cm et hypermétabolique, une radiothérapie est indiquée.
Une TEP-CT après 2 cycles n’est pas recommandée en dehors des essais thérapeutiques.
Après 4 cycles ABVD rémission complète incertaine selon les critères de Cheson 1999. Rponse métabolique complète sur TEP-FDG.
Après 8 cycles ABVD, le scanner confirme la rémission complète.
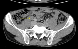
Examen : plusieurs adénopathies axillaires droites, la plus volumineuse 4 cm, une probable adénopathie sous claviculaire droite difficilement individualisable sous les muscles pectoraux. Les autres aires ganglionnaires sont libres. Lésions de grattage sur le thorax. Absence de fièvre ni sueurs ni amaigrissement.
VS 28 mm 1ère heure, hémoglobine 12.4 g/L, GB 13.6 G/L, lymphocytes 1.2 G/L, albumine 36 g/l.
Absence d’atteinte médiastinale. Le site révélateur axillaire correspond au site initial. Risque d’extension lymphatique cervicale homolatérale. Extension hématogène à la rate. Risque d’extension lymphatique ganglionnaire latéro-aortique et d’extension hépatique (voie spléno-portale) non décelée par l’imagerie.
LYSA 2018
Traitement guidé par TEP
Selon AHL2011
Bras standard: BEACOPPesc x 6
Bras expérimental BEACOPPesc x 2 puis TEP2
Si TEP2 négative (SD 1-3) : + ABVD x 4
Si TEP2 positive (SD 4, 5) : + BEACOPPesc x 4
GHSG
Traitement non guidé par TEP
Selon essai HD15 Standard BEACOPPesc x 6
Si en fin de chimiothérapie il existe une lésion > 2,5 cm et hypermétabolique, une radiothérapie est indiquée.
Traitement guidé par TEP
Selon essai HD18
BEACOPPr x 2 puis TEP2
Si TEP2 négative (SD 1-3): + BEACOPPesc x 2 Total 4 cycles
Si TEP2 positive (SD 4, 5): + BEACOPPesc x 4 Total 6 cycles
Si en fin de chimiothérapie il existe une lésion > 2,5 cm et hypermétabolique, une radiothérapie est indiquée.
Après 4 cycles scanner et TEP-FDG afin d’identifier les patients en rémission métabolique complète qui poursuivent le traitement initialement prévu et les patients non mis en rémission complète, qui sont traités par un traitement de 2ème ligne après documentation d’un LH évolutif.
Une TEP-FDG après 2 cycles ne doit être réalisée que dans le cadre d’essais thérapeutiques.
Résultat : le scanner et la TEP-FDG confirment la réponse complète après 4 cycles, conduisant à poursuivre le programme de chimiothérapie initialement décidé.
Après 4 cycles, scanner et TEP-FDG. En cas de rémission métabolique complète et absence d’adénopathies cervicales résiduelles, la poursuite du traitement ABVD 6 à 8 cycles au total est recommandée. En cas de rémission métabolique complète avec adénopathies cervicales résiduelles la poursuite de la chimiothérapie ABVD 6 cycles au total, suivis d’une radiothérapie cervicale gauche à la dose de 30 Gy est discutée en RCP. En cas de réponse partielle sur les adénopathies cervicales et régression des lésions spléniques, un traitement ABVD 6 à 8 cycles au total complété par une radiothérapie cervicale gauche à la dose de 30 Gy est recommandé en RCP.
Une TEP-FDG après 2 cycles ne doit être réalisée que dans le cadre d’essais thérapeutiques.
Résultat : le scanner et la TEP-FDG confirment la réponse complète après 4 cycles, conduisant à poursuivre le programme de chimiothérapie initialement décidé.
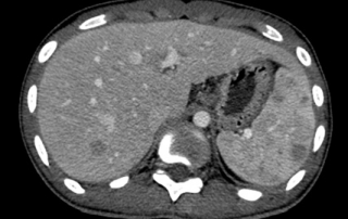
Hémogramme normal, VS 52 mm 1ère heure, albumine 38 g, bilan hépatique normal.
Biopsie médullaire normale.
L’atteinte sus-claviculaire est le site révélateur d’une atteinte initiale sous-diaphragmatique, sans atteinte médiastinale. L’imagerie explique l’atteinte initiale inguinale droite, puis l’extension lymphatique iliaque et latéro-aortique et inter aortico-cave. L’extension lymphatique sus-diaphragmatique passe par les ganglions du diaphragme et la chaine mammaire interne, puis latéro-trachéale. Le risque d’atteinte hépatique existe, en cas d’extension lymphatique au pédicule hépatique. Le risque d’atteinte splénique par voie hématogène est plus tardif (absence de voies lymphatiques afférentes à la rate)
LYSA 2018
Traitement guidé par TEP
Selon AHL2011
Bras standard: BEACOPPesc x 6
Bras expérimental BEACOPPesc x 2 puis TEP2
Si TEP2 négative (SD 1-3) : + ABVD x 4
Si TEP2 positive (SD 4, 5) : + BEACOPPesc x 4
GHSG
Traitement non guidé par TEP
Selon essai HD15 Standard BEACOPPesc x 6
Si en fin de chimiothérapie il existe une lésion > 2,5 cm et hypermétabolique, une radiothérapie est indiquée.
Traitement guidé par TEP
Selon essai HD18
BEACOPPr x 2 puis TEP2
Si TEP2 négative (SD 1-3): + BEACOPPesc x 2 Total 4 cycles
Si TEP2 positive (SD 4, 5): + BEACOPPesc x 4 Total 6 cycles
Si en fin de chimiothérapie il existe une lésion > 2,5 cm et hypermétabolique, une radiothérapie est indiquée.
Après 4 cycles scanner et TEP afin d’identifier les patients en rémission métabolique complète qui poursuivent le traitement initialement prévu et les patients non mis en rémission complète, qui sont traités par un traitement de 2ème ligne après documentation d’un LH évolutif.
Une TEP-FDG après 2 cycles ne doit être réalisée que dans le cadre d’essais thérapeutiques.
Résultat : le scanner et la TEP-FDG confirment la réponse complète après 4 cycles, conduisant à poursuivre le programme de chimiothérapie initialement décidé.
Clinique : plusieurs adénopathies cervicales droite, une adénopathie axillaire droite. Splénomégalie palpable. Présence de signes généraux, sueurs nocturnes et fièvre depuis 4 semaines, amaigrissement de 10 Kg en 4 mois. Douleurs lombaires récentes. VS 120 mm 1ère heure, hémoglobine 7,7 g/l, leucocytes 26.3 G/L, lymphocytes 1.8 G/L, albumine 28.7 g/l. Biopsie ostéo-médullaire absence d’infiltration.
LYSA 2018
Traitement guidé par TEP
Selon AHL2011
Bras standard: BEACOPPesc x 6
Bras expérimental BEACOPPesc x 2 puis TEP2
Si TEP2 négative (SD 1-3) : + ABVD x 4
Si TEP2 positive (SD 4, 5) : + BEACOPPesc x 4
Dans les cas où le BEACOPPesc n’est pas utilisable en 1ère intention, après discussion en RCP, un traitement par ABVD reste possible, mais en cas de TEP2 positive, le passage au BEACOPPesc se posera. Selon l’essai RATHL, le traitement guidé par la TEP après 2 cycles d’ABVD comporte, si TEP2 négative (SD 1, 2, 3) 4 cycles d’AVD (arrêt de la Bléomycine pour éviter une possible toxicité pulmonaire), et si TEP2 positive (SD 4, 5) 4 cycles de BEACOPPesc, sous réserve de TEP négative après 3 cycles de BEACOPPesc.
GHSG
Traitement non guidé par TEP
Selon essai HD15 Standard BEACOPPesc x 6
Si en fin de chimiothérapie il existe une lésion > 2,5 cm et hypermétabolique, une radiothérapie est indiquée.
Traitement guidé par TEP
Selon essai HD18
BEACOPPr x 2 puis TEP2
Si TEP2 négative (SD 1-3): + BEACOPPesc x 2 Total 4 cycles
Si TEP2 positive (SD 4, 5): + BEACOPPesc x 4 Total 6 cycles
Si en fin de chimiothérapie il existe une lésion > 2,5 cm et hypermétabolique, une radiothérapie est indiquée.
Après 4 cycles scanner et TEP afin d’identifier les patients en rémission métabolique complète qui poursuivent le traitement initialement prévu et les patients non mis en rémission complète, qui sont traités par un traitement de 2ème ligne après documentation d’un LH évolutif.
Une TEP-FDG après 2 cycles ne doit être réalisée que dans le cadre d’essais thérapeutiques.
Résultat : le scanner et la TEP-FDG confirment la réponse complète après 4 cycles, conduisant à poursuivre le programme de chimiothérapie initialement décidé.
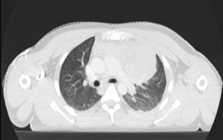
Examen clinique : adénopathie sus-claviculaire gauche, présence de sueurs nocturnes depuis un mois.
Hémogramme : hémoglobine 11.2 g/L, GB 7.9 G/L, lymphocytes 1.4 G/L, albumine 32 g/L, VS 98 mm.
Biopsie d’une adénopathie cervicale: lymphome de Hodgkin classique sclérose nodulaire riche en cellules tumorales.
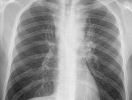
Fibroscopie bronchique : compression extrinsèque de la lingula, biopsies bronchiques ne montrent pas d’infiltration tumorale.
Stade IV forme thoracique, atteinte médiastinale volumineuse et pulmonaire. Les examens d’imagerie ne montrent pas d’extension sous-diaphragmatique.
LYSA 2018
Traitement guidé par TEP
Selon AHL2011
Bras standard: BEACOPPesc x 6
Bras expérimental BEACOPPesc x 2 puis TEP2
Si TEP2 négative (SD 1-3) : + ABVD x 4
Si TEP2 positive (SD 4, 5) : + BEACOPPesc x 4
Dans les cas où le BEACOPPesc n’est pas utilisable en 1ère intention, après discussion en RCP, un traitement par ABVD reste possible, mais en cas de TEP2 positive, le passage au BEACOPPesc se posera. Selon l’essai RATHL, le traitement guidé par la TEP après 2 cycles d’ABVD comporte, si TEP2 négative (SD 1, 2, 3) 4 cycles d’AVD (arrêt de la Bléomycine pour éviter une possible toxicité pulmonaire), et si TEP2 positive (SD 4, 5) 4 cycles de BEACOPPesc, sous réserve de TEP négative après 3 cycles de BEACOPPesc.
GHSG
Traitement non guidé par TEP
Selon essai HD15 Standard BEACOPPesc x 6
Si en fin de chimiothérapie il existe une lésion > 2,5 cm et hypermétabolique, une radiothérapie est indiquée.
Traitement guidé par TEP2
Selon essai HD18
BEACOPPesc x 2 puis TEP2
Si TEP2 négative (SD 1-3): + BEACOPPesc x 2 Total 4 cycles
Si TEP2 positive (SD 4, 5): + BEACOPPesc x 4 Total 6 cycles
Si en fin de chimiothérapie il existe une lésion > 2,5 cm et hypermétabolique, une radiothérapie est indiquée.
| Avant traitement | Après BEACOPP renforcé x 2 cycles Masse médiastinale dont le SUVmax est comparable au bruit de fond hépatique, correspondant à une réponse métabolique complète |
Résultat : la réponse métabolique complète après BEACOPP renforcé 2 cycles conduit à poursuivre le traitement par ABVD x 4 cycles selon l’essai AHL2011, avec évaluation après ABVD 2 cycles et en fin de traitement. La TEP-TDM montre une masse médiastinale résiduelle de taille 36 x 42 mm inchangée entre l’évaluation après 4 cycles et en fin de traitement, avec maintien de la réponse métabolique complète, correspondant à une diminution de 88%. Classement rémission complète incertaine selon les critères de Cheson 1999 et à une rémission complète selon les critères IWG 2007.
L’examen clinique retrouve une adénopathie sus claviculaire droite.
Biopsie ganglionnaire chirurgicale adénopathie sus-claviculaire: lymphome de Hodgkin classique type cellularité mixte.
VS 96 mm 1ère heure, hémoglobine 10,3 g/dl, globules blancs 16 700, lymphocytes 1200, albumine 34,4 g/l. Biopsie médullaire normale.
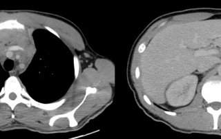
Fibroscopie bronchique montre une infiltration tumorale de la lobaire moyenne à son origine et une sténose de la lobaire inférieure droite d’allure extrinsèque. Biopsies de la bronche lobaire moyenne aspect de lymphome de Hodgkin.
LYSA 2018
Traitement guidé par TEP
Selon AHL2011
Bras standard: BEACOPPesc x 6
Bras expérimental BEACOPPesc x 2 puis TEP2
Si TEP2 négative (SD 1-3) : + ABVD x 4
Si TEP2 positive (SD 4, 5) : + BEACOPPesc x 4
Dans les cas où le BEACOPPesc n’est pas utilisable en 1ère intention, après discussion en RCP, un traitement par ABVD reste possible, mais en cas de TEP2 positive, le passage au BEACOPPesc se posera. Selon l’essai RATHL, le traitement guidé par la TEP après 2 cycles d’ABVD comporte, si TEP2 négative (SD 1, 2, 3) 4 cycles d’AVD (arrêt de la Bléomycine pour éviter une possible toxicité pulmonaire), et si TEP2 positive (SD 4, 5) 4 cycles de BEACOPPesc, sous réserve de TEP négative après 3 cycles de BEACOPPesc.
GHSG
Traitement non guidé par TEP
Selon essai HD15 Standard BEACOPPesc x 6
Si en fin de chimiothérapie il existe une lésion > 2,5 cm et hypermétabolique, une radiothérapie est indiquée.
Traitement guidé par TEP2
Selon essai HD18
BEACOPPesc x 2 puis TEP2
Si TEP2 négative (SD 1-3): + BEACOPPesc x 2 Total 4 cycles
Si TEP2 positive (SD 4, 5): + BEACOPPesc x 4 Total 6 cycles
Si en fin de chimiothérapie il existe une lésion > 2,5 cm et hypermétabolique, une radiothérapie est indiquée.
Résultat : classement rémission complète conduisant à poursuivre le traitement initialement prévu par BEACOPP renforcé 6 cycles au total, suivis d’une évaluation de fin de traitement pas scanner.
Clinique : Présence de sueurs nocturnes et douleurs dorsales basses récentes. Une adénopathie sus-claviculaire gauche. Discrète voussure latéro-sternale gauche.
Diagnostic de lymphome de Hodgkin classique sclérose nodulaire sur la biopsie chirurgicale d’une adénopathie sus-claviculaire gauche.
Hémoglobine 10.4 g/l, GB 12.4 G/L, lymphocytes 0.9 G/L ; albumine 33 g/l BM normale.
LYSA 2018
Traitement guidé par TEP
Selon AHL2011
Bras standard: BEACOPPesc x 6
Bras expérimental BEACOPPesc x 2 puis TEP2
Si TEP2 négative (SD 1-3) : + ABVD x 4
Si TEP2 positive (SD 4, 5) : + BEACOPPesc x 4
Dans les cas où le BEACOPPesc n’est pas utilisable en 1ère intention, après discussion en RCP, un traitement par ABVD reste possible, mais en cas de TEP2 positive, le passage au BEACOPPesc se posera. Selon l’essai RATHL, le traitement guidé par la TEP après 2 cycles d’ABVD comporte, si TEP2 négative (SD 1, 2, 3) 4 cycles d’AVD (arrêt de la Bléomycine pour éviter une possible toxicité pulmonaire), et si TEP2 positive (SD 4, 5) 4 cycles de BEACOPPesc, sous réserve de TEP négative après 3 cycles de BEACOPPesc.
GHSG
Traitement non guidé par TEP
Selon essai HD15 Standard BEACOPPesc x 6
Si en fin de chimiothérapie il existe une lésion > 2,5 cm et hypermétabolique, une radiothérapie est indiquée.
Traitement guidé par TEP2
Selon essai HD18
BEACOPPesc x 2 puis TEP2
Si TEP2 négative (SD 1-3): + BEACOPPesc x 2 Total 4 cycles
Si TEP2 positive (SD 4, 5): + BEACOPPesc x 4 Total 6 cycles
Si en fin de chimiothérapie il existe une lésion > 2,5 cm et hypermétabolique, une radiothérapie est indiquée.
TEP-FDG après 2 cycles dans le cadre de l’essai AHL2011 avec relecture centralisée. Réponse métabolique complète (score 1 des critères de Deauville).
Le traitement est poursuivi par ABVD x 4 cycles selon l’essai AHL 2011.
Après 4 cycles (BEACOPP x 2 + ABVD x 2) évaluation par TEP-scanner : absence de foyer significatif au niveau médiastin et des lésions osseuses initiales, maintien de la réponse métabolique complète. Persistance d’une zone hétérogène du sternum correspondant à l’atteinte initiale (lésion non cible).
L’évaluation de fin de traitement (BEACOPP x 6 cycles + ABVD x 4 cycles) confirme la rémission complète, avec image stable du sternum.




















